Содержание
Что входит в область исследования
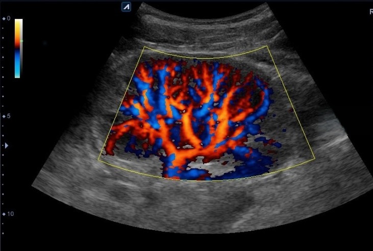
Допплерография используется для визуализации и оценки кровотока в почечных сосудах.

В область исследования входят:
- Сосуды почек. Диагностика кровотока в артериях. Исследование вен для оценки их текущего состояния.
- Кровоток. Его скорость в почечных артериях, венах.
- Диагностика отклонений в достаточном кровоснабжении почек. Обнаружение сужений артерий. Определение областей с недостаточным кровоснабжением (например, при ишемии).
- Диаметр сосудов. Допплерография предоставляет врачу (через визуализацию) дополнительную информацию о текущем состоянии сосудистой системы почек (диагностика венозного оттока, процент сужения артерий).
Что показывает УЗДГ сосудов почек

УЗДГ дает возможность врачу визуализировать:
- недостаток кровоснабжения почек, скорость кровотока в сосудах;
- присутствие атеросклеротических тромбов, бляшек;
- степень сужения артерий и их клиническую значимость;
- наличие кисты, опухоли;
- присутствие камней в органе и т.д.
Показания к допплерографии почек
УЗДГ назначается врачом при:
- обнаружении шумов в зоне проекции почечных артерий;
- травмах и других патологиях, мешающих нормальному кровоснабжению органа;
- токсикозе в 3 триместре беременности;
- диспропорции анатомической структуры органа;
- непонятной почечной недостаточности;
- эндокринных нарушениях;
- почечных коликах;
- подозрении на присутствие тромба в почечной артерии либо аорте.
Как проходит процедура

УЗДГ – стандартный способ исследования, при котором пациент располагается на кушетке с подкладыванием валика под голову. Наносится гель, после чего врач проводит исследование органа с использованием специального датчика. В ходе манипуляций вся информация визуализируется на мониторе. Продолжительность диагностики в среднем составляет до 35 минут.
Есть ли противопоказания
Допплерография сосудов почек - безопасная диагностика. Однако существует некоторые ограничения, препятствующие проведению допплерографии:
- наличие аритмий сердечных патологий;
- наличие ран в области сканирования;
- исследуемый орган перекрыт костью либо жировой прослойкой;
- медленный кровоток.
Описание результатов УЗДГ сосудов почек
Расшифровка результатов допплерографии занимает у специалиста до 15 минут, но полная их интерпретация проводится лечащим врачом. Проведенное исследование позволяет точно определить проблему и назначить эффективный курс лечения органа, если оно требуется.
Литература
- Бакстер Г.М. Ультразвуковые исследования мочевыделительной системы. М.: Медпресс-информ, 2008.
- Шраменко Е.К. Патогенетическое обоснование тактики ренопротекции у больных с острой почечной недостаточностью. М., 2010.
- Textor S.C., et al. Doppler ultrasound of the renal arteries: diagnosis and management. Journal of the American College of Cardiology. 2020; 75(22): 2851-2867.
- Krumme B., et al. Renal artery Doppler ultrasound: diagnostic accuracy for stenosis detection. Radiology. 2019; 290(2): 456-464.
- Lerman L.O., et al. Renal Doppler ultrasound: pathophysiology and clinical implications. Hypertension. 2022; 79(4): 705-717.