Содержание
- Что покажет КТ глазных орбит
- Зачем делать КТ глазных орбит
- Что лучше – МРТ или КТ глазных орбит
- Безопасна ли процедура КТ
- Противопоказания к КТ
- Зачем нужен контраст
- Как проходит процедура КТ
- Какое оборудование и есть ли ограничения
- Как подготовиться к КТ глазных орбит, что взять с собой
- Что я получу после КТ, куда идти с результатами
- Литература по теме
Что покажет КТ глазных орбит
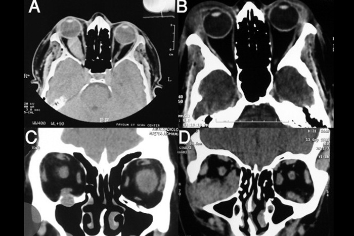
Главное предназначение исследования – определить наличие патологических состояний глазницы, а именно травмы ее стенок, переломы костей и новообразования. Помимо перечисленного сканирование хорошо зарекомендовало себя при диагностике заболеваний глазного яблока и его мышц, артерий, питающих органы зрения. Поскольку глазница состоит из мелких структур, ее осмотр должен проходить на самых современных томографических аппаратах, позволяющих применить мультиспиральное сканирование. Такая диагностика гораздо быстрее по времени и точнее, чем обычная спиральная компьютерная томография.

Зачем делать КТ глазных орбит
При обследовании глазных орбит на КТ снимки делаются прицельно. Для осмотра анатомической области используют три проекции: переднюю, боковую и горизонтальную. Благодаря этому изображения отразят множество патологий органов зрения. Среди заболеваний будут:
- болевые симптомы, резкое снижение зрительных функций, патологическое выпячивание одного или обоих глаз;
- новообразования в глазном яблоке, стенках глазницы (раковой и доброкачественной природы), распространение опухолей на носовые пазухи;
- черепно-мозговые травмы, при которых возможны переломы стенок орбиты, кровотечения в глазнице, контузия органов зрения;
- попавшие в глазницу посторонние предметы (в частности из металла, например, стружка);
- эндокринная офтальмопатия и т.п.;
- болезни слезного аппарата;
- воспаления;
- нарушения зрительного нерва;
- сосудистые патологии сетчатки;
- состояния, при которых противопоказано проведение МРТ.
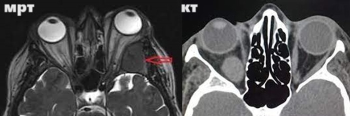
Что лучше – МРТ или КТ глазных орбит
Оба исследования применяются достаточно редко. Офтальмология для выявления патологий чаще использует другие методы диагностирования. Но бывают сложные клинические ситуации, при которых требуется просканировать глазницу послойно. В этом случае медицинские специалисты решают, какое исследование глазных орбит провести: МРТ или КТ.
С помощью компьютерной томографии проще осмотреть костные структуры, вот почему ее используют, если есть предположение на переломы стенок орбиты.

Для выявления болезней глазных яблок и мышц, отвечающих за их движение, чаще назначают МРТ. Когда магнитно-резонансная диагностика обследуемому запрещена, то могут использовать КТ. При этом подбирают режимы сканирования, при которых мягкие ткани будут визуализироваться наилучшим образом.
Поскольку с годами количество злокачественных новообразований глаз стремительно растет, при таких диагнозах метод применяется для выявления масштаба разрастания злокачественных клеток, как в глазнице, так и за ее пределами. Раковые образования находят по степени контрастирования (злокачественная опухоль, накопившая контраст, становится ярче участков без патологий), смотрят насколько оттеснены расположенные рядом ткани, вовлечены ли в воспалительный процесс соседние структуры. По этим показателям определяют стадийность заболевания и назначают необходимое лечение.
Точные снимки на КТ можно создавать, применяя трехмерную реконструкцию изображения. Используя специальную программу, специалисты получают 3D-фото обследуемой области. В дальнейшем его можно рассмотреть на мониторе с любой стороны.
Безопасна ли процедура КТ глаз
Многие, зная, что метод основан на применении рентген-лучей, относятся к нему настороженно. Полагают, что диагностика способна повредить здоровье. Специалисты убеждают, что тревоги их напрасны. Современные сканеры сконструированы таким образом, что получаемая доза облучения приемлема для человеческого организма. Вопрос количества исследований пациенты решают с лечащим врачом. Он решает, когда и сколько томографий следует провести.
Противопоказания к КТ
В группу людей, которых исследование запрещено, входят беременные женщины. Даже при небольшой лучевой нагрузке рентгеновское облучение считается опасным для не родившегося ребенка. Оно способно нарушать формирование и развитие его органов и систем.
Не рекомендуют процедуру больным с острым болевым синдромом, а также при гиперкинезических расстройствах. Пациенты с такими нарушениями не смогут находиться в томографе неподвижно. В некоторых ситуациях диагностику таким людям проведут, но предварительно обезболив или применив наркоз.
Томографию с контрастом не применяют во время лактационного периода. Красящее вещество через кровь попадает в молоко кормящей матери. Если все же исследование необходимо осуществить, после него женщине советуют не кормить ребенка грудью как минимум пару дней.
Контрастированное сканирование не проводят при почечной недостаточности. Пациенты с этой патологией рискуют получить интоксикацию организма. Это связано с тем, что при плохой работе почек затруднено выведение рентгеноконтраста вместе с мочой. Тем, у кого присутствует аллергическая реакция на йод, диагностику также не проведут.
Зачем нужен контраст
При компьютерной томографии пользуются контрастом. Это особый препарат, содержащий в своем составе йод, который увеличивает интенсивность получаемых изображений как сосудов, так и органов. Одной из свойств рентгеноконтрастного вещества – способность оседать в тканях. Он делает более интенсивным визуализацию сосудов (что важно, если есть кровоизлияние или дефект сосудистых стенок). Повышенное накопление препарата наблюдается в кровоснабжаемых областях, что позволяет выявить раковые опухоли и участки с воспалением (в таких структурах усилен кровоток, поэтому они активно накапливают контраст). Организм обследуемого контраст покинет через полтора дня после его внутривенного введения.

Как проходит процедура КТ
У тех, кто был на МРТ, компьютерная томография вопросов не вызовет. Оба метода аналогичны по проведению. Однако тем, кто идет на сканирование впервые, рекомендуем узнать, как оно проходит.
- В процессе сканирования вы будете лежать на передвижной платформе (столе), который с началом обследования будет перемещен в кольцо аппарата.
- Пока идет процедура, кольцевой контур установки будет совершать вращения вокруг пациента. В это время обследуемому нужно находиться без движения.
- Для исследования в кабинет врач зайдет вместе с вами. Он поможет вам правильно лечь и, если нужно, объяснит, как реагировать на его команды. Во время томографии специалист будет следить за процессом из соседнего помещения и будет видеть вас через стекло.
- Обследование не вызывает болевых ощущений. Если во время него вы почувствуете дискомфорт или вам станет плохо – сообщите об этом диагносту, используя двустороннюю связь.
Какое оборудование и есть ли ограничения
Наш центр выполняет мультиспиральную диагностику на современном томографе Toshiba Aquilion 16. Установка имеет весовое ограничение: она предназначена для людей весом не более 120 кг.

Как подготовиться к КТ глазных орбит, что взять с собой
Исследование может назначаться как с контрастированием, так и без него. Во втором случае оно рекомендовано при подозрении на раковую опухоль (чтобы отличить онкологическое образование от доброкачественного). В первом – если предполагается перелом кости стенки глазницы. Когда требуется контраст, больной на обследование должен прийти натощак. Для бесконтрастного метода подготовки не предусмотрено.
В клинику обычно приносят:
- бумагу с врачебным направлением;
- краткое описание заболевания (выписка из медкарты);
- результаты обследований, какие есть на руках (например, рентген);
Что я получу после КТ, куда идти с результатами
Когда диагностика глазных орбит на КТ завершится, вам отдадут полученные в ходе сканирования фотоснимки. Описание к ним составляет диагност, проводивший томографию. Если вы делали трехмерное исследование, то данные с него записываются на электронный носитель. Время ожидания результатов составляет около часа.
Итоги осмотра обязательно покажите врачу, который занимается вашим лечением. Он решит, как поступить дальше: назначить терапию или порекомендовать вам другого квалифицированного специалиста, компетентного в вашем клиническом случае.
Если инициатором диагностики были вы, то после ее прохождения сделайте визит к офтальмологу. Поскольку именно он занимается патологиями глаз и окружающих структур, то лечение будет проходить под его контролем.
Литература
- Чепурина А.А. Визуализирующие методы исследования в диагностике эндокринной офтальмопатии. Медицинская визуализация. 2012; (4): 45-52.
- Свириденко Н.Ю. Компьютерная томография: Болезнь Грейвса и Эндокринная Офтальмопатия. М., 2012.
- Бровкина А.Ф. Липогенный вариант отечного экзофтальма (клиника, лечение). Вестник Офтальмологии. 2008; 124(3): 12-16.
- Бровкина А.Ф. Эндокринная миопатия - одна из клинических форм эндокринной офтальмопатии. Практическая Медицина. 2016; (5): 78-82.
- Bansidhar B.J., et al. CT of the orbits: indications and diagnostic yield. Emergency Radiology. 2020; 27(4): 387-394.
- Kani K.K., et al. Orbital CT: plain radiography versus CT. Radiographics. 2021; 41(5): 1390-1401.