Содержание
- Электромагнитная диагностика КПС: общие сведения
- Где находится крестцово-подвздошное сочленение
- Какие бывают заболевания крестцово-подвздошного сочленения
- Что можно увидеть на МРТ крестцово-подвздошных сочленений
- Когда назначают МРТ крестцово-подвздошных сочленений
- Когда нельзя будет сделать МРТ крестцово-подвздошных сочленений
- Как нужно готовиться к МРТ крестцово-подвздошных сочленений
- В клинике
- Этапы проведения МРТ крестцово-подвздошных сочленений
- Как происходит обработка результатов МРТ крестцово-подвздошных сочленений
- Литература по теме
Электромагнитная диагностика КПС: общие сведения
Электромагнитная диагностика — один из информативных неинвазивных способов диагностики для определения поражений, локализованных в крупных суставах неподвижного плана, которое соединяют крестец с костными структурами таза. Исследование причислено к безопасной и достоверной категории процедур, используемых в качестве альтернативы рентгену или компьютерной томографии. МР-скрининг намного эффективнее, безвреднее и раньше других манипуляций способен показать признаки воспалительных реакций в КПС.
Где находится крестцово-подвздошное сочленение

Таз — анатомическая структура, локализованная возле основания скелета. Он образован из двух костей вместе с копчиком и крестцом. Эти детали отвечают за формирование кольца, которое нужно для крепления ног к туловищу. Оно обладает перечнем жизненно важных отделов: репродуктивными органами, лимфоузлами, сосудами, а также мочевым пузырем и участком толстой кишки. Тазовая кость представлена соединением подвздошной, лобковой и седалищной структуры. Вместе они создают вертлужную впадину. Она считается область крепления нижних конечностей.
Соединение крестца вместе с подвздошной костью называют КП-сочленении. Этот сустав считается одним из крупнейших парных сегментов скелета, который удерживается прочными связками. Представленное сочленение взаимодействует с различными мышечными группами:
- большой ягодичной;
- грушевидной;
- большой спинной.
Количество совершаемой активности в суставе минимальное, так как его главные цели — поддержание тела и снижение нагрузки во время ходьбы. К главным способностями сочленения относят:
- наклоны;
- фиксирование корпуса в сидячем положении;
- амортизация ног и туловища при пробежке, прыжках.
Заболевание, протекающие в КП-сочленении, вызывает нарушения во всех биомеханических отделах тазового кольца. Аномальная реакция провоцирует изменения прилегающих суставов представленного сегмента, что необратимо приводит к отсутствию возможности двигаться.
Какие бывают заболевания крестцово-подвздошного сочленения
Существует несколько факторов, при которых формируется патология в представленном отделе. Рассмотрим каждый более детально.
Сакроилеит первичного характера

Аномальное заболевание сочленений, появляющееся непосредственно в самом суставе причинами выступают:
- травмирования мышц и связок, костей в районе поясницы и крестца;
- проникновение в КПС инфекционного патогена;
- формирование новообразований на участке сочленения;
- реакция метастазирования в суставе.
Сакроилеит вторичного плана
Патологическое заболевание формируется на фоне аутоиммунного хронического нарушения или инфекционной системой болезни. Основными причины, по которым появляется сакроилеит, называют:
- псориаз;
- артрит ревматоидного характера;
- спондилоартрит анкилозирующего плана;
- болезнь Бехтерева;
- воспалительные патологии ЖКТ;
- инфекционные патогены специфического типа.
Сакроилеит проявляется болезненными ощущениями внизу спины, которые способны формироваться резко или обладать постоянной формой, усиливаясь в ходе передвижения или длительного покоя пациента. Симптоматика зависит от характера и этапа развития аномалии. Боль в крестце считается основной причиной обращения к профильным врачам.
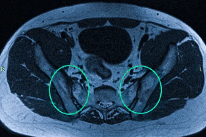
Что можно увидеть на МРТ крестцово-подвздошных сочленений

Электромагнитными томографами начали пользоваться в 1980-х годах прошлого века. С того времени устройства МРТ суставов постоянно улучшаются, разрабатываются продвинутые компьютерные протоколы для повышения качества изображений. Сегодня все МР-аппараты визуализируют минимальные отклонения в костях и хрящевых структурах, мышечной области и связках. МРТ лучше всех медицинских манипуляций помогает в исследовании патологий КПС, так как болезнь может быть сопряжено с нарушением работы всех вышеперечисленных отделов.
Когда назначают МРТ крестцово-подвздошных сочленений
Поводом для исследования сустава в частной или государственной клинике считают:
- болевой синдром в районе спины, крестце или ягодицах, отдающий в бедро;
- усиливающийся дискомфорт при длительном стоянии на месте или сидении, поворотах корпуса, ходьбе, попытках изменить положение или встать;
- типичным проявление заболеваний КПС считают усиление болезненных ощущения при поднятии по лестнице, переносе веса с ноги на ногу, попытках поворотов в положении лежа;
- ограничение активности позвоночника;
- присутствие объемных опухолей, отечности, припухлости, шишек, которые выделяются визуально или при ощупывании.
Когда нельзя будет сделать МРТ крестцово-подвздошных сочленений
Далеко не всем пациентам разрешено проходить исследование на сканере с магнитным резонансом. Несмотря на множество плюсов томографии, некоторой категории больных не подойдет подобный вид диагностики суставов из-за некоторых особенностей. Основными противопоказаниями к МРТ называют:
- присутствие в теле электронных устройств и конструкций, выполненных из металла (разрешает обследоваться пациентам с имплантатами из титанового сплава или других материалов, совместимых с томографом);
- возраст больного до 5 лет;
- вынашивание ребенка на первом триместре;
- ожирение, когда вес человека составляет больше 130 кг, а также при показателях окружности тела свыше 150 см;
- боязнь замкнутого пространства.
При некоторых ограничения исследование могут провести. Например, если у пациента есть клаустрофобия врач может порекомендовать ему пройти сеанс на оборудовании открытого типа, приняв успокоительное. В детском возрасте тоже разрешается проведение исследования по острым показаниям, но в этом случае ребенок будет введен в медикаментозный сон.
Как нужно готовиться к МРТ крестцово-подвздошных сочленений
Перед назначенным исследованием пациенту разрешается соблюдать обычный рацион питания и выполнять любые физические нагрузки, то есть вести привычный образ жизни. Есть несколько правил, когда лечащий врач выписывает направление на МРТ с контрастным усилителем. В некоторых случаях ввод вещества вызывает вегетативные процессы, проявляющиеся тошнотными позывами и рвотной. Они появляются у пациентов при забитом желудке или натощак. Поэтому медики рекомендуют в день исследования не переедать, а за полчаса до сеанса слегка перекусить, например, фруктами или сэндвичем.
В редких случаях гадолиний, компонент присутствующий в контрастном препарате, способен спровоцировать у пациента аллергию. Нужно обязательно сообщить рентгенологу об имеющейся индивидуальной непереносимости медикаментов. При необходимо врач может выписать направление на сдачу аллергопробы на соли гадолиния.
У лиц, страдающих тяжелой формой почечной недостаточности средство способны спровоцировать утяжеление течения болезни. Поэтому врачи советуют в таком случае перед МРТ с контрастом пройти исследование на уточнение количества креатинина в крови.
Ограничениями к проведению сканирования с дополнительным усилителем считают:
- диагностика с контрастом, проведенная менее 36 часов назад;
- индивидуальная непереносимость пациентов гадолиния;
- почечная недостаточность хронического характера;
- астма бронхиального плана тяжелой формы;
- поливалентная лекарственная аллергия в анамнезе.

В клинике
На сеанс принесите с собой документы, где есть результаты прошлых исследований, которые относятся к текущему заболеванию:
- направление от профильного врача (при наличии);
- выписки из стационаров;
- сведения прошлых диагностик по типу КТ или МРТ, если их проводили в другим медицинском учреждении.
Вся информация поможет рентгенологу сделать корректное заключение. Если в теле есть металлические имплантаты или искусственные суставы, необходимо показать справку из стационара, где ранее проводили операцию с уточнением материала, из которого была выполнена вставка или записью, что ограничений к электромагнитному исследованию нет. Противопоказания не касаются брекетов или зубных коронок.
В кабинет томографии категорически запрещено проносить:
- наручные часы;
- слуховые приборы;
- банковские карты;
- ключи и прочее.
В ходе сканирования магнитно-резонансное устройство создает шум, но его не стоит бояться. Для устранения дискомфорта попросить заранее у рентгенолога беруши или наушники. Это поможет снизить громкость звуков прибора. После завершения МРТ пациента сразу возвращается к обычному образу жизни, если из-за клаустрофобии медики не вводили пациента в больного в клинический сон. При применении успокоительных человеку нельзя будет садиться за руль. Уточнять продолжительно запрета стоит у диагноста или анестезиолога.

Этапы проведения МРТ крестцово-подвздошных сочленений
Диагностическое исследование проводят на компьютерном оборудовании, которое представлено цилиндром с широким, но не длинным туннелем в середине. Именно внутри сканера установлена рабочая группа томографа. В нем в ходе сеанса и будет размещаться пациент. Для этого в приборе есть направляющие, по которым перемещается кушетка для исследуемого.
Перед запуском убедитесь в том, что все лишние предметы остались в раздевалке (это касается аксессуаров из металлических сплавов). Пациент проходит в комнату, где расположен томограф, и укладывается на передвижной стол. Ему выдают беруши или наушники, в которых во время сеанса можно слушать любимую музыку и слышать указания рентгенолога.
Обычно на проведении МРТ затрачивают или 15 минут. Если исследование запланировано с контрастом, то время увеличивается в два раза. После окончания процедуры подождите ответов. Обычно это занимает примерно полчаса. За это время диагност успевает полностью расшифровать данные и составить качественное описание.

Как происходит обработка результатов МРТ крестцово-подвздошных сочленений
На сериях послойных изображений, выполненных в различных проекциях через район крестца и таза, визуализируются КПС, их поверхности, хрящи, полости, рядом прилегающие связки вместе с сухожилиями, включая кости таза. Медицинский персонал в ходе расшифровки данных изучает заболевания, выявленные при МРТ, признаки воспалений, сужения щелей суставов, а также присутствие выпота в суставную полость.
В определенном протоколе диагностики врач может выявить признаки сакроилеита в форме отечности костного мозга. Применение контрастного реагента при МРТ помогает оценить динамику его скопления и вывода из тканей. На снимках проводят исключение грубых деформаций по типу новообразований разного генеза, остеомиелита, остеопороза и других заболеваний. Результаты исследования вносятся в документацию и выдаются на руки пациенту.
Литература
- Фищенко Я.В. Диагностика синдрома крестцово-подвздошных суставов. — 2016.
- Морозов С.П. Диагностика патологических состояний и заболеваний опорно-двигательного аппарата. – М., 2018.
- Старкова А.С. Сложности в диагностике идиопатического гиперостоза скелета (болезни Форестье). – 2016.
- Diekhoff, T., & Hermann, K. G. A. (2019). MRI of the sacroiliac joints. Seminars in Musculoskeletal Radiology, 23(3), 271-281.
- Lambert, R. G. W., & Maksymowych, W. P. (2020). MRI of the sacroiliac joints in spondyloarthritis. Clinical Radiology, 75(9), 647-656.
- Baraliakos, X., & Braun, J. (2018). Magnetic resonance imaging of the sacroiliac joints in axial spondyloarthritis. Best Practice & Research Clinical Rheumatology, 32(3), 383-394.
- Navarro-Compán, V., & Ramiro, S. (2021). Imaging of sacroiliac joints in spondyloarthritis. Current Opinion in Rheumatology, 33(4), 334-340.