Содержание
Когда назначают рентген плечевой кости
Рентген плечевой кости - эффективный и быстрый способ диагностики, который позволяет обнаружить у пациента патологию сустава и мягких тканей. Метод основан на различной способность тканей пропускать ионизирующие лучи в зависимость от их структуры и плотности. Рентгенография выдает отчетливый снимок в мельчайших подробностях, который помогает выявить проблемы со здоровьем, обнаружить перелом и назначить верное лечение.

Врач назначает рентген плеча в следующих случаях:
- Боль в плечевой области (в движении, покое).
- Отек кожи на плече.
- Деформационные изменения в плечевой зоне.
- Хруст в суставе.
- Травмы, ушибы в зоне обследования.
Что показывает рентген плеча
Рентгенография в первую очередь помогает подтвердить/исключить перелом, а также своевременно определить:
- Его локализацию.
- Разновидность (закрытый, открытый, со смещением, оскольчатый перелом).
- Состояние смежных костей.
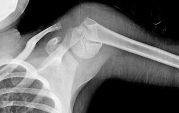
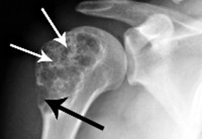
Рентген позволяет обнаружить и другие патологии:
- Вывихи, подвывихи.
- Остеопороз.
- Артрит.
- Дегенеративные изменения сустава.
- Трещины в плечевой кости.
- Новообразования (доброкачественные, злокачественные).

Подготовка к исследованию
Процедура несложная и особой подготовки не требует. Необходимо снять все аксессуары (часы, украшения). Если в области исследования есть установленные фиксирующие болты, врачу нужно сообщить об этом заранее.
Зоны, которые не участвуют в обследовании, защищают свинцовыми накладками, чтобы уменьшить дозу облучения.
Описание процедуры рентгена плечевой кости
Для снимка в прямой проекции пациент садится боком к экрану аппарата. Рука отводится в сторону, выпрямляется в локте и укладывается на плоскость рентгеновского прибора (ладонь вверх). Это положение позволяет сделать наиболее подробный снимок костей плечевого пояса.
При подозрении на вывих съемку проводят в аксиальной проекции. Рука согнута в локте (ладонь вниз). Такой снимок дает возможность определить смещение головки кости относительно сумки сустава.

Расшифровка снимков рентгенографии плеча
При расшифровке снимка врач смотрит на потемнения, тени, структуру кости и на основании исследования пишет заключение.
В норме должны четко просматриваться контуры плечевой кости (без разрывов). Не должно быть затемнений, новообразований, отростков.
Противопоказания
Процедура рентгена плеча не имеет абсолютных противопоказаний. Обследование с осторожностью назначают в период беременности, лактации и детям до 14 лет. В некоторых случаях пациенту назначают другую диагностику - МРТ, УЗИ.
Литература
- Ховелиус Л. Рецидивы после первичного вывиха плеча. Результаты проспективного исследования лечения. Хирург. 1983; 56(2): 45-51.
- Хироока А. Деструкция плеча при ревматоидном артрите. Классификация и прогностические признаки у 83 пациентов, наблюдавшихся в течение 5-23 лет. Акта Ортоп. Скан. 1996; 67(3): 239-245.
- Rodriguez-Merchan E.C., et al. Radiography of the humerus: indications and diagnostic accuracy. Journal of Clinical Medicine. 2020; 9(8): 2456.
- Pal C.P., et al. Shoulder radiography in trauma and degenerative disease: a systematic review. Orthopedic Reviews. 2021; 13(2): 245-253.
- Hegde V., et al. Plain radiography of the shoulder: technique and clinical applications. Radiographics. 2019; 39(5): 1406-1420.
- Felson D.T., et al. Radiographic assessment of shoulder osteoarthritis: current guidelines. Osteoarthritis and Cartilage. 2022; 30(4): 521-530.